상악동 누공 폐쇄 케이스
안녕하세요. 내인생치과 신창훈입니다.
이번에 소개해 드릴 환자분은 발치후 상악동이 천공 되어서 입안의 물이 코로 들어가고 코로 바람이 새는 증상이 있어서 발치한 치과에서 비흡수성 차폐막으로 막은 상태로 오셨습니다.
저희 치과에 오신 거는 발치한 날로부터 약 3주가 지난 상태로 오셨는데 발치한 치과에서는 한달이 안 되었기 때문에 더 기다려 볼 것을 권유 받으셨었습니다. 그런데 환자분이 제가 구강상악동누공에 대하여 작성한 포스팅을 보시고 저희 치과를 방문하시게 되었습니다. 보통 발치한지 3주가 되면 구강상악동천공의 단계를 지나서 구강상악동누공의 상태로 발전하게 됩니다. 내원 당시에 찍은 시티에서 10mm 이상의 천공이 확인 되었고 막아 놓았던 비흡수성 차례막을 제거하니 자연 치유될 정도의 천공이 아닌 걸로 확인하고 상악동누공폐쇄술을 시행하기로 하였습니다.


보통 5mm보다 작은 천공은 상악동염증이 없는 경우에는 자연치유 된다고 주장하는 논문도 있고 3mm 보다 작은 천공은 자연치유 된다고 말하는 논문도 있습니다. 하지만 제가 현재까지 약 30명 가량의 상악동누공폐쇄술을 했는데 환자 중에서 4mm 정도의 천공이 자연치유되지 않아서 폐쇄술을 한 경우도 2명 정도 있었습니다. 이걸로 보아서 5mm 보다는 3mm 보다 작은 천공이 자연치유 된다는 주장이 더 합당하다고 생각됩니다. 그래서 이 환자분은 10mm 이상의 매우 커다란 천공이 있었기 때문에 반드시 폐쇄술을 시행해 주어야 하지만 잇몸 상태가 너무 안 좋아서 잇몸이 어느 정도 치유될 때까지 기다린 후에 상악동누공폐쇄술을 계획하였고 성공적으로 잘 막혔습니다.


상악동누공폐쇄술이 성공하면 그 다음 단계로는 치조골 이식과 임플란트 식립을 해야 하는데 간혹가다 일반적인 상악동거상술에 비하면 누공이 있었던 부위는 상악동점막과 잇몸살이 유착되어서 힘든 경우가 많습니다. 물론 폐쇄술을 시행하면서 상악동에 뼈이식을 동시에 하는 것도 하나의 방법이 될수 있겠으나 성공했을 때 뿐만 아니라 누공폐쇄술이 실패했을 때를 가정한다면 통상적으로 동시 뼈이식을 시행하기에는 다소 위험성이 따르는 것이 사실입니다. 그래서 이 환자분은 안전하게 단계적으로 진행하기로 하였으며 누공폐쇄술이 성공한 후에 상악동 측방거상술을 시행하였고 이식한 뼈가 충분히 굳은 후에 임플란트를 식립하였습니다.


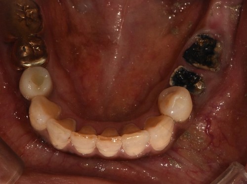
임플란트를 식립한 후에는 통상적으로는 3개월 후에 임플란트 보철물이 들어가는데 환자분의 사정으로 치과 내원을 못 하셔서 약 5개월 후에 오셨는데 왼쪽 아래 치아의 뿌리 부위의 충치가 발견되어서 아래 치아는 발치하면서 식립하는 즉시식립을 해 드렸습니다.



보통 하악에 임플란트 식립하면 2개월 이내에 치아가 들어가는데 마찬가지로 환자분 사정으로 못 오시다가 6개월이 지나서야 위,아래 임플란트 머리가 들어가고 마무리 할수 있었습니다.





구강상악동천공과 누공은 치과 수술 중에 발생하는 합병증 중에서 가장 심각한 합병증 중에 보통 치과 중에 구강악안면외과에서 시행하게 됩니다. 하지만 치과병원이나 종합병원의 구강악안면외과 뿐만 아니라 구강상악동누공의 경험이 있는 구강악안면외과(구강외과) 전문의가 근무하고 있는 치과의원에서도 동일하게 치료를 받으실 수 있기 때문에 초기(논문에 의하면 48시간 이내)에 치료 시기를 놓치지 않고 적절한 치료를 받는 것을 추천 드립니다.
긴 글 읽어 주셔서 감사합니다.
이상 내인생치과 신창훈 원장이었습니다.
※내인생생치과의원의 모든 포스팅은 각 진료과 의료진이 직접 작성합니다.
※내인생치과의원 블로그의 임상 케이스 게시물은 환자분께 의학적으로 정확하고 상세한 정보를 드리기 위해 각 진료과 의료진이 직접 작성하며, 모든 증례 사진은 본원 의료진이 직접 시술한 증례를 촬영한 것으로, 의료법 제23조, 제56조에 의거하며 환자분의 동의를 얻어 포스팅에 사용하였습니다. 또한 해당 케이스는 본 환자분의 치료 결과이며, 환자 상태에 따라 치료의 결과는 달라질 수 있습니다.